Researchers in the Molecular Vision Research Cluster (MVRC) at the University of Auckland are calling for eyecare professionals to refer a specific cohort of patients for a study they hope will result in new treatments for cataract and presbyopia.
While these conditions are commonly managed with reading glasses or surgery, the work could lay the foundation for medical therapies to delay cataract and presbyopia onset, potentially reducing the growing burden on healthcare systems worldwide, said MVRC head Professor Paul Donaldson.
Discussing the study as part of his Professor Anthony Molteno Innovator’s Lecture at RANZCO NZ’s 2025 conference, Prof Donaldson said that over the past 10 years his team has taken its theories on the role of water transport dysfunction in the lens, determined in animal models, and started translating them to human patients. The research team has now established how the resting water content changes as a function of age, he explained, and how the water content dynamically changes during the process of accommodation. The team has also initiated a study to observe how water content changes during cataract development, he said.
At the heart of all this work is the lens’ own microcirculation system which actively regulates water and nutrient movement in the absence of a blood supply, said Prof Donaldson, who’s also co-director of the Aotearoa New Zealand National Eye Centre. “The lens has evolved a very sophisticated system to regulate its water content and we’re investigating how to exploit this system to maintain lens function and delay these age-related conditions.”
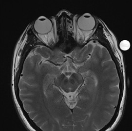
MRI scans have proven crucial in this research, he said. “The great thing about MRI is that it can non-invasively measure water content in the human tissue – the free water and water that is bound to proteins. This allows us to do longitudinal studies on how water content changes in the same individual in response to a potential therapy.”

A T2-weighted brain MRI scan showing a slice through
the eyes
The team is now working to identify a biomarker, like water content shifts, that could flag when a cataract is about to develop.
“Having a biomarker that is predictive for the onset of cataract not only provides a way of identifying patients who are ‘pre-cataractic’,” said Prof Donaldson, “but also provides a metric that can be monitored to determine the potential efficacy of a therapy to protect against cataract onset.
“We’re now at the stage where we are seeking volunteers to help us understand what happens in the lens before cataract forms.” Specifically, the team is seeking patients who are scheduled to undergo a vitrectomy. This eye surgery, typically unrelated to cataract, often leads to cataract formation within two years. By tracking these patients over this time, the team hopes to pinpoint early water content changes that herald cataract onset, he said.
The “elephant in the room”, Prof Donaldson told conference attendees, was that existing surgical treatments are already seen as safe and effective, leading some to question the need for new therapies. “The counter to that is that presbyopia and cataract remain a huge economic and social burden for society and our health system is struggling to cope. Medical therapies that could delay these conditions would reduce that burden.”
The research team, supported by the Health Research Council of New Zealand and the US National Eye Institute, is keen to hear from all eyecare professionals who can help them recruit patients or are interested in leveraging the team’s MRI-based methods to study other eye conditions.
“We hope that by working together we can bring forward new therapies to help people maintain clear vision for longer,” said Prof Donaldson.
For more information and to refer patients, please contact the study’s clinical lead Alyssa Lie: a.lie@auckland.ac.nz or visit auckland.ac.nz/en/fmhs/research/research-study-recruitment/research-study-recruitment--u-z-/using-mri-biomarkers.html