NZ Optics - Declaration
DISCLAIMER: This website is intended for use by healthcare professionals only. By proceeding, you agree you are a registered healthcare or eyecare professional.
Proceed
Exit
Home
NZ Optics
Optical Information Guide (OIG)
Magazines
About Us
Subscriptions
Chalkeyes
Optometry
Optometry Features
Optometry News
Eye On Ophthalmology
Focus On Research
Dispensing and Style
Focus On Business
Optometry Comment
Dry Eye Update
Ophthalmology
Ophthalmology Features
Ophthalmology News
Eye On Ophthalmology
Focus On Research
Focus On Business
Ophthalmology Comment
Dry Eye Update
Calendar
Classifieds
Vacancies
Positions Wanted
Others For Sale
Book a Classified
Contact Us
Advertise
Sign-up for free e-newsletter
Home Page
Eye On Ophthalmology
Eye On Ophthalmology
ARN a rare but important cause of uveitis
Drs Jo Sims and Haya Al-Ani
01/11/2025
New tube designs a big step forward in glaucoma surgery
Dr Jesse Gale
06/10/2025
TFOS DEWS III: Advancing the understanding and management of dry eye disease
Professor Jennifer Craig and Jordan Cooper
03/09/2025
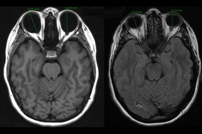
Differentiating papilloedema from pseudopapilloedema in children
Drs Martin Wasik and Helen Kearns
01/08/2025
Pathological myopia
Dr Leo Sheck
02/07/2025
Women in Vision Aotearoa New Zealand: current and future perspectives
Dr Joevy Lim and Professor Helen Danesh-Meyer
03/06/2025
The evolution of cataract surgery since Ridley’s first IOL
Dr Peter Ring
01/05/2025
Avian eyes vs human eyes: parallels and differences
Dr Peter Hadden
03/04/2025
Importance of risk stratification in modern cataract surgery
Dr Yuanzhang Jiao, Associate Professor Jie Zhang, Professor Charles McGhee
03/03/2025
Unravelling glaucoma using modern genetics
Sirithi Medagoda, Dr William Schierding and Prof Helen Danesh-Meyer
01/02/2025
Multimodal imaging in uveitis
Drs Lucy Lu and Jo Sims
03/12/2024
Approaches to revitalising or replacing the corneal endothelium
Drs Yuting Xiao and Jie Zhang
02/11/2024
Glaucoma – improving control with stents, trabs, and tubes
Dr Hussain Patel
02/10/2024
Exploring the interplay between glaucoma and DED
Jeremy Holyer and Dr Jay Meyer
03/09/2024
Eye Donation: factors affecting donation rates in Aotearoa New Zealand
Dr Natalie Allen, Helen Twohill, Maureen Watson and Nigel Brookes
31/07/2024
Understanding the challenges and opportunities of Māori ocular health
Dr Micah Rapata
03/07/2024
Ophthalmology, the future and beyond: opportunities and challenges for humanity
Dr Eugene Michael and Angie Hu
03/06/2024
Orally delivered drugs in clinical trials for DR: looking into the future
Charisse Kuo, A/Prof Ilva Rupenthal, Prof Rinki Murphy and Dr Lola Mugisho
03/05/2024
Current state of keratoconus management in New Zealand
By Drs Lize Angelo and Akilesh Gokul
01/04/2024
The complex diagnosis of intraocular lymphoma
Drs James Brodie, Laura Butler and Rachael Niederer
02/03/2024
<