AI effective in ROP screening
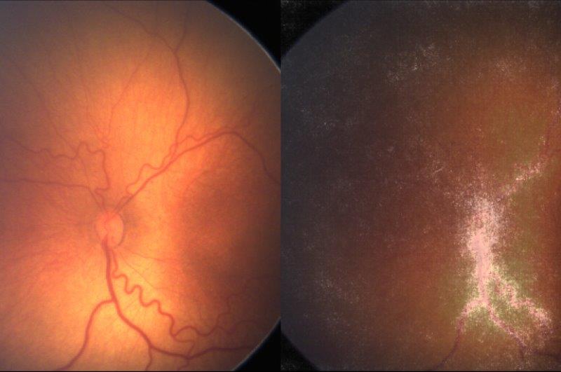
An eye with ROP (left), with the right image illustrating where the AI tool has identified the diseased area. Credit: Moorfields/UCL

AI effective in ROP screening

June 6, 2023 Staff reporters

An artificial intelligence (AI) tool was found to be as effective as senior paediatric ophthalmologists in discriminating normal retinal images from those with retinopathy of prematurity (ROP), according to a new study led by UCL and Moorfields Eye Hospital researchers in London. 

 

Retinopathy of prematurity is becoming increasingly common as survival rates of premature babies improve across the globe and it is now the leading cause of childhood blindness in middle-income countries and in the US,” said lead author Dr Konstantinos Balaskas, director of Moorfields Ophthalmic Reading Centre and Associate Professor at UCL Institute of Ophthalmology. Since many parts of the world do not have enough trained ophthalmologists to screen all at-risk children, a technique to automate ROP diagnostics will improve access to care in underserved areas, he said. 

 

The AI model was trained on a sample of 7,414 images of the eyes of 1,370 newborns admitted to the Homerton Hospital, London, and assessed for ROP by ophthalmologists. Authors noted the hospital serves an ethnically and socioeconomically diverse community, which is important for the AI training phase, since ROP can vary between ethnic groups. 

 

First author Dr Siegfried Wagner of UCL and Moorfields said he hopes a trained nurse will be able to take images for assessment by the AI tool, so referral can be made without the need for an ophthalmologist to manually review the scans. “Here we have found further evidence that AI can be a game-changer for the field and open up access to sight-saving treatments,” he said. 

 

The study was published in The Lancet Digital Health.